Красноярская межрайонная клиническая больница №4
Лабораторная диагностика
1 сентября 2016
Научная деятельность
Эндоскопия в диагностике и хирургической коррекции пациенток с неполной внутриматочной перегородкой
Аннотация. Гистерорезектоскопия на данный момент является операцией выбора после установления диагноза внутриматочная перегородка. Цель данного хирургического лечения – это восстановление нормального менструального цикла и фертильности, так как основной жалобой с которой женщины обращаются к врачу акушеру-гинеколога это не способность реализовать свою репродуктивную функцию. Широкое внедрение эндоскопии в гинекологии позволяет избежать трансабдоминальной метропластики.
Актуальность. Врожденные пороки развития женских половых органов составляют 4 % всех врожденных аномалий, и в последние годы наблюдается тенденция к их увеличению. До настоящего времени не установлено, что лежит в основе возникновения пороков развития матки и влагалища.
Диагностика пороков развития матки представляет значительные трудности, что приводит к ошибкам в распознавании характера заболевания. Оптимальной тактикой ведения таких пациенток возможен только при наличии максимально полной и достоверной информации об анатомии порока развития. Это особенно важно поскольку от правильного диагноза зависит метод выбора корригирующего лечения. Определения тактики ведения пациентки с пороками развития матки зависит не только здоровье пациентки, но и ее генеративная, половая функции и качество жизни [2, 5].
Возникновение различных форм пороков развития матки и влагалища зависит от патологического влияния тератогенных факторов или реализации наследственной предрасположенности в процессе эмбриогенеза [5].
О пороках развития женских половых органов еще упоминал в своих трактатах Гиппократ. Впервые порок развития матки был описан во время патологоанатомического вскрытия. Рокитанский описал перегородку в полости матки как двуполостная матки, Kussmaul в 1803 году назвал матка с перегородкой. Авторы указывали на продольную выступающую линию, идущую со дна матки вниз и доходящую до того места, на котором по внутренней поверхности развилась внутриматочная перегородка. Впервые в 1884 году P. Ruge выполнил слепое рассечение внутриматочной перегородки через цервикальный канал. Далее в 1907 году предложили данную операцию абдоминальным или вагинальным доступом.
Преимуществами этого метода операции являются простота выполнения, небольшая кровопотеря, сохранение тканей эндометрия и миометрия. Безусловно интерес ученных к данной проблеме не ослабевал и в процессе развития медицинской науки усовершенствовались техники операции. Одни авторы предлагали широкий клиновидный разрез в дне матки для иссечения внутриматочной перегородки, другие предлагали иссечение внутриматочной перегородки сагиттальным разрезом матки. В 1974 году K. Edstrom сообщил о двух положительных результатах операции удаление внутриматочной перегородки с помощью гистероскопа [1, 8].
В настоящее время существует множество классификаций пороков развития влагалища и матки, которые основываются на различиях эмбриогенеза внутренних половых органов. В процессе эмбриогенеза матка формируется из мюллеровых протоков. В результате канализации и обратного рассасывания срединной перегородки образуется единая полость матки. Под влиянием неблагоприятных факторов как экзогенных, так и эндогенных не происходит полного рассасывания срединной перегородки, и формируется аномалия развития матки. Данную патологию (внутриматочную перегородку) выявляют у 2- 3 % женщин в общей популяции [3, 4, 7].
Диагностика пороков развития матки и влагалища представляет значительные трудности. До недавнего времени наиболее распространенными методами диагностики аномалий развития матки являлись гистеросальпингография и пневмопельвиография. Следует также отметить, что порою для уточнения диагноза прибегали к пробному чревосечению [6, 8].
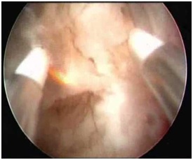
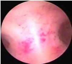
Внутриматочная перегородка – порок развития матки, при котором ее полость разделена на две половины (гемиполости) продольной перегородкой различной длины.
Клинические проявления внутриматочной перегородки (полной или неполной) могут отсутствовать, либо пациентки предъявляют жалобы на болезненные менструации. У пациенток с внутриматочной перегородкой наблюдаются выраженные нарушения репродуктивной функции, проявляющиеся самопроизвольными выкидышами, невынашиванием беременности и бесплодием как первичным, так и вторичным. При наличии внутриматочной перегородки частым симптомом является аномальное маточное кровотечение [1, 3, 4, 6 ].
Материалы и методы. Наиболее часто встречающейся аномалией развития матки с которой пациентки состояли на учете по бесплодию и невынашивания беременности в КБУЗ КМКБ № 4 за период 2013‑2016 гг. явилась неполная внутриматочная перегородка. Хирургическая коррекция которой проводилась в гинекологическом отделении № 6 КБУЗ Красноярской межрайонной клинической больнице №4. Всего гистерорезектоскопия внутриматочной перегородки была проведена за данный промежуток времени 36 пациенткам.
Перед операцией с целью уменьшения толщины эндометрия, снижения кровопотери и лучшей визуализации внутриматочной перегородки пациентками предварительно назначались аналоги гонадотропного рилизинг-гормона (ГнРГ) – Бусерелин – депо 3,75 мг внутримышечное введение в течение двух месяцев. Гистероскопию проводили жестким панорамным гистероскопом фирмы «Karl Storz» (Германия), с использованием жидких сред, под внутривенным наркозом. Цервикальный канал расширялся расширителями Гегара до № 10,5 и в полость матки вводили гильзу резектоскопа.
Внутриматочную перегородку по ее центру от вершины к основанию рассекали Г-образной петлей резектоскопа, последовательно, короткими движениями, монополярным током мощностью 60 – 80 Вт в чисто режущем режиме. Перегородку иссекали до формирования гладкой полости матки. Объем вводимой жидкости не превышал 6 литров; скорость подачи жидкости от 150 – 400 мл/ мин, среднее давление в полости матки – 60 – 80 мм.рт.ст. В послеоперационном периоде пациенткам в течение трех месяцев назначали гормональную контрацепцию. Метод гистероскопии расширяет диагностические возможности выявления внутриматочной патологии и выполнять оперативные манипуляции в полости матки. Окончательная диагностика внутриматочной перегородки возможна при одновременном выполнении гистеро- и лапароскопии.
Результаты и обсуждение. По данным отечественных и зарубежных авторов при внутриматочной перегородке невынашивание беременности наблюдается в 6 раз чаще, чем при двурогой матке. Нами выделены две группы пациенток: в первую группу вошли пациентки, состоящие на учете по невынашиванию беременности 19/ 36, во вторую группу вошли пациентки, которые состояли на учете по бесплодию (первичное или вторичное) 17/ 36. Длительность бесплодия составила от 2 до 13 лет, среднее значение – 6,6 лет. Процент женщин с первичным бесплодием составил 7/17 (41,2 ± 11,9%), а пациенток, наблюдающихся по поводу вторичного бесплодия - 10/17 (58,8 ± 11,9%). Возраст пациенток I группы варьировал от 22 до 39 лет, во II группе - от 26 до 43 лет. Средний возраст пациенток I группы составил 29 лет, во II группе – 32 года.
Средний возраст менархе пациенток I группы составил 13 лет, во II группе – 12 лет. При анализе данных о менструальной функции пациенток значимых различий нами выявлено не было.
На основании данных анамнеза среди пациенток I группы среднее значение беременностей составило 1,7 случаев, во II группе – 0,9 случаев. Среди пациенток I группы превалировали в анамнезе самопроизвольные и несостоявшиеся выкидыши в сроке 6- 7 недель беременности. Среди пациенток II группы с вторичным бесплодием количество беременностей, которые закончились самопроизвольным или несостоявшимся выкидышами в процентном соотношении были равными. У 5/ 17 пациенток с вторичным бесплодием в анамнезе медицинское прерывание беременности в сроке 5 недель.
Длительность заболевания от появления первых симптомов до установления правильного диагноза колебалась от двух до 15 лет. Для уточнения диагноза амбулаторно проводились рентгенологические, ультразвуковые методы, однако данные методы позволяли предположить аномалию развития матки. С целью уточнения и дифференциальной диагностики аномалии развития матки проводилось эндоскопическое исследование (лапароскопия, гистероскопия).
При выборе корригирующей операции предпочтение отдается методикам, которые сохраняют мышечный слой матки, что создает условия для донашивания беременности до срока родов и способствует завершению родов через естественные родовые пути, учитывая отсутствие рубца на матке. Генеративная функция после гистерорезектоскопии внутриматочной перегородки восстанавливается в 63,8 % случаев.
У 10/36 пациенток после резектоскопии неполной внутриматочной перегородки наступила спонтанная беременность, которая закончилась срочными родами.
Таким образом, гистерорезектоскопия является операцией выбора у пациенток с внутриматочной перегородкой. Данная методика менее травматична, меньше возникает осложнений в послеоперационном периоде по сравнению с метропластикой, уменьшается количество койко-дней. Также использование данного метода уменьшает возникновение показаний для оперативного родоразрешения, а следовательно травматизации, послеоперационной реабилитации и пребывания в стационаре родильного дома.
Список литературы
Пороки развития матки и влагалища. /Адамян Л.В., Кулаков В.И., Хашуковеа А.З. М.: Медицина, 1998. С. 327.
Гинекология: национальное руководство /под ред. В. И. Кулакова, И. Б Манухина, Г. М. Савельевой. – М.: ГЭОТАР-Медиа, 2007. С. 1072.
Кулаков В. И. Руководство по оперативной гинекологии / Кулаков В. И., Селезнева Н. Д., Белоглазова С. Е. М.: Мед. информ. агенство, 2006. С. 640.
Лапароскопия и гистероскопия в диагностике и лечении гинекологических заболеваний /под ред. В. И. Кулакова, Л. В. Адамян. – М., 1998. С.535.
Руководство по эндокринной гинекологии /под ред. Е. М. Вихляевой. – 3-е изд., доп. – М. : Мед. информ. агенство, 2006. С. 784.
Савельева, Г. М. Гистероскопия: атлас и руководство / Г. М. Савельева, В. Г. Бреусенко, Л. М. Каппушева. – М.: ГЭОТАР-Медиа, 2013. С. 248.
Эндоскопия в гинекологии /под ред. В. И. Кулакова, Л. В. Адамян. – М., 1999. С. 623.
Эндоскопия в гинекологии: Руководство для врачей. – М.: Медицина, 2000. C. 384.
Когодеева О. А., Сивова Е. Н., Гурова Л. П., Васильева А. С., Усманова А. Г.
КГБУЗ «КМКБ №4» 6-ое гинекологическое отделение