Красноярская межрайонная клиническая больница №4
Стационар
31 августа 2016
Научная деятельность
Случай внематочной яичниковой беременности
Внематочная яичниковая беременность (ВЯБ) является разновидностью эктопической беременности и встречается в 3,1-8% от всех случаев внематочной беременности [3]. Первые описания ВЯБ относятся к XVII в., однако диагноз во всех случаях был установлен после смерти беременной. Первую классификацию внематочной беременности, предусматривающую деление на трубную, яичниковую и брюшную внематочную беременность, опубликовал Левре (1752 г.). С развитием эпохи ультразвука возможности своевременной диагностики ВЯБ значимо возросли, хотя и имеют определенные ограничения.
Если яичниковая беременность возникает при оплодотворении яйцеклетки в яичнике, то она считается первичной, если же оплодотворение происходит в результате трубного выкидыша путем повторной имплантации эмбриона – вторичной [2,3].
Этиологию ВЯБ соотносят с воспалительными процессами в придатках матки (до 92,5% описанных случаев ВЯБ), вследствие которых маточные трубы претерпевают морфо-функциональные изменения. Среди других факторов, способствующих развитию ВЯБ, по всей видимости, важную роль играет использование внутриматочных контрацептивов, приводящих к нарушению перистальтики труб (в группе женщин, использующих внутриматочные контрацептивы, частота ВЯБ увеличена в 3,5-6 раза). «Овулогенная теория», связывающая эктопическую беременность с преждевременным проявлением нидационных свойств хориона либо повышением биологической активности зиготы, что приводит к эктопической имплантации зародыша, хотя и не является ведущей, но по всей видимости, играет важную роль в возникновении ВЯБ. Среди других причин ВЯБ рассматриваются: наследственные и генетические факторы, эндометриоз и инфантилизм маточных труб, врожденная непроходимость или патологическая асимметрия маточных труб, длительная послеродовая лактация, объемные образования маточных труб, стрессы, никотиновая интоксикация, оперативные вмешательства на маточных трубах [2,3] .
Эхографическая диагностика яичниковой беременности ранних сроков невозможна, так как плодное яйцо, желточный мешок симулируют фолликул или желтое тело.
Мы приводим собственное наблюдение ВЯБ у женщины К., 31года. Пациентка К. обратилась в больницу с жалобами на кровянистые выделения из половых путей, задержку месячных. Из анамнеза известно, что беременность вторая, от одного здорового мужа. Профессиональных вредностей ни у мужа, ни у пациентки нет. Первая беременность закончилась с/выкидышем в сроке до 12 недель.
Вторая беременность – желанная, наступила спонтанно. На учете в женской консультации беременная не состоит. С задержкой месячных в две недели пациентка с вышеописанными жалобами обратилась в женскую консультацию по месту жительства, откуда была направлена на госпитализацию в КГБУЗ «КМКБ №4» с диагнозом начавшийся с/аборт раннего срока, отягощенный акушерский анамнез.
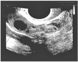
При поступлении пациентка К. была направлена к врачу ультразвуковой диагностики для проведения ультразвукового исследования органов малого таза. УЗИ проводилось на ультразвуковом сканнере «Phillips HDI 1500» вагинальным датчиком датчиком в режиме 2D c применением цветного допплеровского картирования. По данным проведенного исследования: тело матки размером 45х40х45 не увеличено, толщина эндометрия 13,5 мм, строение эндометрия не изменено. Левый яичник б/о, правый яичник увеличен в размере 50х42х48мм,в нем визуализируется желтое тело диаметром 17мм , рядом с желтым телом визуализируется округлое образование 27х24мм без четких контуров, гетерогенной структуры, в центре образования визуализируется анэхогенное включение диаметром 10мм, напоминающее плодное яйцо.
При ЦДК картировался интенсивный кровоток по периферии образования. Контур правого яичника нечеткий, неровный. В заднем своде жидкость в небольшом количестве.
Заключение: Эхо- признаки внематочной яичниковой беременности .Данные гормонального исследования показывали повышение уровня хорионического гонадотропина до 1742,3 МЕ/л. Женщина К. была прооперирована по поводу внематочной беременности. Гистологические исследования, проведенные в дальнейшем, подтвердили факт яичниковой беременности. При дальнейшем контроле уровня ХГЧ отмечено его снижение до 287.4 МЕ/л.
Мы приводим этот случай, так как описания ВЯБ в практике врача встречаются достаточно редко и диагностика ВЯБ всегда затруднена. Трудности диагностики ВЯБ обусловлены тем, что прогрессирование данного вида эктопической беременности, как правило, не происходит (кровотечение на ранних сроках беременности, апоплексия яичника) [2,3,4] и разрешающая способность УЗИ на ранних сроках ВЯБ низкая [1].
Наш случай демонстрирует хорошую корреляцию между результатами гинекологического, биохимического и ультразвукового исследования пациентки К. с яичниковой беременностью.
Список литературы
Волков А.Е., Михельсон А.Ф., Волдохина Э.М. Ультразвуковая диагностика прогрессирующей яичниковой беременности //Ультразвуковая диагностика в акушерстве, гинекологии и педиатрии. 1993. № 4. С. 71–72.
Озерская И.А., Агеева М.И. Ультразвуковая диагностика внематочной беременности //Ультразвуковая и функциональная диагностика. 2005. №2. С. 101-113.
Стрижаков А.Н., Давыдов А.И., Шахламова М.Н., Белоцерковцева Л.Д. Внематочная беременность. Изд. 2_е, перераб. и дополн. М.: Медицина, 2001, С. 215.
Marret H., Hamamah S., Alonso A.M., Pierre F. Case report and review of the literature: primary twin ovarian pregnancy // Hum. Reprod. 1997. V. 12. № 8. P. 1813–1815.
Новосадова Е.В., Лейтис Н.А.
КГБУЗ «КМКБ №4», отделение ультразвуковой диагностики